
英国:新型生物涂层,颠覆污水处理在工业生物技术领域中,全细胞活性微生物可以悬浮或固定包裹在水凝胶珠内。这些封装的微生物可查看详情
2021-12-24

一、技术流程:易腐垃圾原位减量资源化机器成肥设备主要由物料预处理系统、自动上料系统、发酵仓、搅拌翻堆系统、强制供氧系统、查看详情
2021-12-24

一、工业固体废物高静压预处理技术与设备1、应用对象的基本特性① 钢渣:炼钢副产物、0.15~0.25t钢渣/一吨钢;② 高炉渣:高炉查看详情
2021-12-24

此设备由东华大学和南京銮鑫环境科技有限公司联合研发,利用微气泡在非移动源废弃产生处收集废气进入集气室,然后进入微气泡氧化查看详情
2021-12-24

技术详情一、技术背景有机废水、氨氮废水广泛存在于冶金、化工、制药、印染等行业,是一种重要的工业污水,通常采用生化法处理。查看详情
2021-12-24

本产品由上海海事大学研发团队提供;经中国制冷学会科技评估:导热系数低达1.5mW/(m·K),为目前全球检索到的导热系数最低的真空查看详情
2021-12-24

本技术由中科院过程所副研究员的团队提供,指在解决电池回收中的安全与环保问题,本技术实现了零”碳排(ERTE-DF,实现废气无害查看详情
2021-12-24

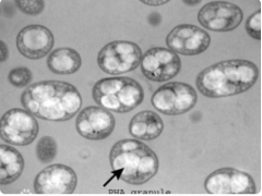
本技术由中科院过程工程研究所南京绿色制造产业创新研究院提供,指建设一可降解塑料聚羟基脂肪酸酯(PHA)年产万吨项目;PHA 是查看详情
2021-12-24

技术详情技术简介:目前绝大多数生活污水经过处理后基本都是向自然水环境,诸如河流或湖泊中排放。即使按照国家一级A的标准或是查看详情
2021-12-24

来自上海海洋大学的冷链过程与装备的智能控制与低碳系列技术与产品,包括:冷链装备的智能控制与仿真、高效换热管的优化、速冻机查看详情
2021-12-24

海绵城市,顾名思义就是指城市能像海绵一样有弹性——在适应环境变化和应对雨水带来的自然灾害等方面具有良好的弹性,所以也称之查看详情
2021-12-24

摘要:与传统地面式污水厂相比,地下污水处理厂具有节约土地资源、降低二次污染风险、减少病原体传播、可多元化利用地面空间等优查看详情
2021-12-24

导 读黄河作为我国西北和华北地区城市的重要水源,进一步对黄河高浊度原水的研究具有重要的意义。以北方某水厂改扩建工程设计为查看详情
2021-12-24

近日,沈阳南部三期污水处理厂扩建工程通水调试,项目正式建成后,沈阳南部污水处理厂总设计处理能力达到每天130万吨,居全国前查看详情
2021-12-24

医院不同于一般的公共建筑,其使用功能最复杂的,它的正常使用关系到患者的身体健康、生命安全。所以其能源供应既要求不能中断,查看详情
2021-12-24

如今,大量使用的排污泵非常普遍,充分发挥其应用使命,资深自吸无堵塞排污泵制造商拥有多年排污泵生产经验,对其使用和操作有着查看详情
2021-12-24

适用范围或应用领域:市政污水处理,并且适用于生化段水解酸化池、厌氧池、缺氧池、好氧池技术简介:早期建成的的污水厂因无法停查看详情
2021-12-24

适用范围或应用领域:基础化工/精细化工/食品/医药/农药/石油炼化/电子行业/机械加工/汽车制造/军工行业/核工业/市政技术简介:查看详情
2021-12-24

适用范围:最佳适用范围:COD:50-150mg/L氨氮2-100mg/L正常情况下,电化学氧化出水指标可达到:化学需氧量 COD 10-50mg/L、氨氮查看详情
2021-12-23